Invisalign for the Smile Makeover of Your Dreams
With superb expertise and excellent patient care, Dr. Tim Simpson is able to conceal or repair dental imperfections using cosmetic options such as Invisalign® invisible adult braces and porcelain veneers. For residents of Abilene and West Texas, cosmetic conditions such as stained, discolored, crooked, or gapped teeth - and even unwanted smile lines and thin lips - can be corrected and altered at Dr. Simpson’s office. In accordance with Dr. Simpson’s commitment to helping you regain, restore, and maintain your perfect smile, he and his team provide you with the utmost care and comfort.
- Invisalign® Invisible Adult Braces
- Cosmetic Dentures
Invisalign® Invisible Adult Braces
For adult and teenage patients with crooked or gapped teeth, wearing braces is a prospect to be avoided by any means possible. Though traditional braces are a very effective treatment for crooked and gapped teeth, their uncomfortable, aesthetically displeasing, and bothersome nature make them an unpopular choice among older people.
However, with the revolutionary technology of Invisalign® invisible braces, adults are now able to receive the benefits of braces without the unsightliness of metal wires and brackets. Invisalign® uses a series of clear and removable aligners rather than brackets and wires. Instead of constantly visiting the dentist to have wires retightened, with Invisalign® all you need do to continue the correction process is come in regularly to receive a new set of aligners. These invisible braces can be removed before eating, brushing your teeth, or flossing to minimize hassle and inconvenience.
The Invisalign® invisible adult braces treatment begins during a visit to Dr. Tim Simpson’s Abilene, Texas office. During your initial visit, Dr. Simpson will create and assess a three-dimensional model made by a computer to optimize a treatment plan. With the optimized treatment plan, the aligners will gradually shift your teeth over two-week intervals. Each subsequent set of clear aligners will gently shift your teeth further toward a correct position.
To schedule a consultation regarding Invisalign® invisible adult braces, please contact our office in Abilene, Texas today.
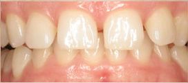
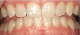
Patient Results


Cosmetic Dentures
Fitted to one's individual face shape for a natural look, cosmetic dentures are a treatment option for those who desire custom cosmetics in addition to function. Utilizing precision impressions and customized records, Dr. Tim Simpson can create an individualized cosmetic denture over several appointments.
For a natural, beautiful smile, important characteristics to be addressed include the patient's vertical face, horizontal face, smile, smile-line, and proper lip support. It should be emphasized that each step is only as accurate as the ones that precede it. And of course, matching the tooth shape and shade to the patient's face shape and preference are of utmost importance. By addressing all the factors above coupled with the patient's input, Dr. Simpson and his team can create the ultimate and ideal cosmetic denture.
Contact Tim Simpson, DDS
If you would like to learn more about cosmetic procedures such as Invisalign® invisible adult braces and cosmetic dentures, please contact our Abilene office serving West Texas today.


